
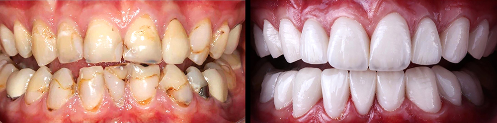
Keramik Veneers
Mit Verblendschalen, so genannten Veneers korrigieren wir schon seit Jahren Verfärbungen, Lücken oder Unregelmäßigkeiten im Frontzahnbereich: Perfekte Frontzahnreihen können mit Verblendschalen substanzschonend wiederhergestellt werden. Diese filigranen, dem Zahn in Form und Farbe naturgetreu nachempfundenen Keramikschalen lassen wir in deutschen Meisterlaboren individuell für Sie fertigen. Veneers eigenen sich zur Korrektur einzelner Zähne oder auch kompletter Zahnreihen. Da nur eine minimale Präparation der Zahnoberfläche zur Befestigung notwendig ist, wird die gesunde Zahnsubstanz geschont. Veneers bestechen durch ihre Transparenz, Farbe, Struktur und ihr natürliches Aussehen.
Unser Ziel ist perfekte Ästhetik bei Schonung wertvoller Zahnsubstanz. Mit Veneers / Verblendschalen können alle "sichtbaren" Zähne versorgt werden. Bei kariösen Defekten oder abgesplitterten Schmelzpartien, können auch Kunststoffe / Komposite im Front- und Seitenzahnbereich eingesetzt werden. Diese Komposite sind kostengünstige Füllungsmaterialien, die vor allem eine preisliche Alternative zu Keramik darstellen.
Inlays sind zahnfarbene Füllungen. Sie können aus Kunststoff oder Keramik gefertigt werden. Keramik-Inlays werden im Labor hergestellt und zeichnen sich aus durch eine lange Haltbarkeit und Verträglichkeit aus.
Wir möchten, dass Sie ein perfektes Lächeln schenken.

